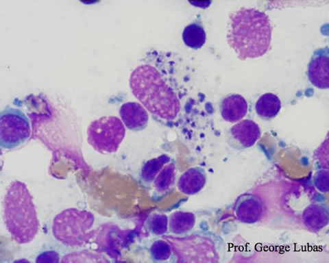
Macrofago ingolfato da parte di melanina e di Leishmania i. in un preparato di linfonodo effettuato per agoinfissione

I contenuti di queste pagine web sono intesi e destinati all’aggiornamento
culturale dell’attività del medico veterinario
Macrofago ingolfato da parte di melanina e di Leishmania i. in un preparato di linfonodo effettuato per agoinfissione

Nel corso della riunione autunnale del GSLC che si è tenuta a Roma il 10 novembre 2023 è stata anche l'occasione di svolgere un'assemblea generale e straordinaria per il rinnovo delle cariche dell'associazione.
Infatti, la naturale scadenza del Consiglio Direttivo sarebbe stata alla fine di marzo del 2024, ma per ragioni amministrative è stata anticipata di qualche mese. Pertanto, il presidente del GSLC Prof. Lubas che ha guidato il GSLC per numerosi mandati triennali fin dal 2015 (in pratica 4 mandati) ha rassegnato le proprie dimissioni, facendo decadere tutto il CD.
Nella riunione autunnale del GSLC che si è tenuta a Roma il 10 novembre 2023 è stata anche l’occasione di ratificare ufficialmente la partecipazione del prof. Domenico Otranto dell’Università di Bari come membro effettivo del gruppo.
Il prof. Otranto è diplomato europeo di Parassitologia e professore ordinario di Malattie Parassitarie presso il Dipartimento di Medicina Veterinaria dell’Università di Bari. Attualmente è anche il presidente della World Association for the Advancement of Veterinary Parasitology.
Dopo quasi due anni di attività scientifica e formativa-divulgativa del GSLC tramite collegamenti in remoto, è stato organizzato un evento scientifico di aggiornamento professionale in presenza a Granozzo con Monticello, Novara dal titolo “Leishmaniosi canina: vecchie e nuove evidenze. Parliamone insieme”. Per partecipare all’evento che è a numero chiuso è necessaria la registrazione e il programma prevede cinque relazioni:
Gestione e implementazione di studi e protocolli sulla leishmaniosi canina: Dott. Xavier Roura (coordinatore), Dott.ssa Alessandra Fondati, Prof. George Lubas, Prof. Saverio Paltrinieri, Prof. Andrea Zatelli, Dott. Eric Zini
Nefrologia e Leishmaniosi: Prof. Andrea Zatelli, Dott. Xavier Roura, Prof. Oscar Cortadellas, Dott.ssa Silvia Benali.
Gestione e promozione del GSLC: Prof. George Lubas (coordinatore), Dott.ssa Paola Bianchi.